八月医学

您的位置:主页 > 临床医学 > 胸痛中心 >

胸痛不一定是心梗,可能更要命!这4招教你避“雷”。

2018-11-16     来源:未知         内容标签:胸痛,不一定,是,心梗,可能,更,要命,这,4招,

导读:面对急性心肌梗死,请擦亮眼睛,三思而行! 急性胸痛会诊,看见CT后心凉了 这里是胸痛中心的急诊室。 凌晨两点钟,值班电话响了,急诊大夫提请外科会诊。 我穿上白大褂,走进急

面对“急性心肌梗死”,请擦亮眼睛,三思而行!

 

 急性胸痛会诊,看见CT后心“凉”了

 

这里是胸痛中心的急诊室。

 

凌晨两点钟,值班电话响了,急诊大夫提请外科会诊。

 

我穿上白大褂,走进急诊室,此时的急诊仍然是熙熙攘攘。我看到了需要会诊的那位病人,一个肥胖的中年男人裹着厚厚的被子一动不动地躺在平车上,只有眼睛是活动的,我在他的眼睛里看到了恐慌。或许是见多了的缘故,我的内心毫无波澜。

 

我一边看着外院的CT片子,我的同事一边向我介绍病情:

 

  • 两个小时前,患者出现了急性胸痛,并向后背放射;

     

  • 外院心电图显示“Ⅱ、Ⅲ、aVF”导联ST段抬高、肌钙蛋白阴性;

     

  • 外院予吗啡肌注,硝酸甘油泵入, 300 mg拜阿司匹林,300 mg氯吡格雷口服……

 

听到这里时,我的心沉了下去,因为他带来的CT明确地告诉我们,这是主动脉夹层

 

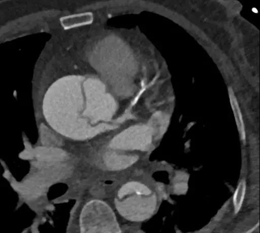
图1:夹层累及左冠状动脉的典型图像

 

虽然,患者的确发生了心梗,但是原因并非冠心病,而是因误诊而服用的阿司匹林和氯吡格雷让我们无法急诊手术,只能等......等到手术的出血风险变小时,再奋力一搏!然而,主动脉夹层48小时内死亡率高达50%

 

我们该如何救他.......

 

 诊断心梗前,这5点“雷区”不要忘!

 

临床工作中,尽管我们把急性胸痛的鉴别诊断常常挂在嘴边,心梗、夹层、肺栓塞......但当患者出现急性胸痛、ST段抬高、心肌酶升高,你高度怀疑患者是急性心梗时,还会进行鉴别诊断吗?当心了!千万不要忘了主动脉夹层累及冠状动脉

 

值得注意的是,当主动脉夹层逆向撕裂至冠状动脉时便会造成急性心肌缺血或心梗。文献报道称,急性Stanford A型主动脉夹层累及冠状动脉的发生率大约为6%-19%,尸检检出率为7%

 

 主动脉夹层分型 

 

Neri和同事总结15年间24例冠脉受累患者的情况,将夹层累及冠状动脉分为三型(见图2):

 

  • A型:局限于冠脉开口的内膜剥离;

  • B型:内膜剥离至冠脉内,冠脉假腔形成(假腔多位于冠脉上方)

  • C型:冠脉内膜套筒样剥离并离断。

 

图2:Neri分型,图源于《胸心血管外科杂志》

 

Kawahito及其同事在其文章中详细讨论了主动脉夹层导致冠状动脉灌注不良的机制。他们将冠状动脉阻塞的机制简单概括为:压迫、剥离、断裂,分别对应三种Neri分型。

 

由于血流动力学的原因,右侧冠脉受累更加常见,因此冠脉受累时多为下壁心梗。这类患者很可能直到被推荐导管室行冠脉造影才发现是主动脉夹层

 

结合众多同类误诊病例,主要有有以下5种原因导致误诊:

 

  • 没有充分重视高血压病史,特别是伴胸痛主诉时,主动脉夹层应作为急性心梗的常规鉴别诊断;

 

  • 查体不全面不细致,主动脉根部撕裂会在主动脉瓣区闻及舒张期杂音;

 

  • 对于体征和辅助检查的结果没能进行全面的综合分析;

 

  • 未能行超声心动图及多排螺旋CT等更有价值的检查手段;

 

  • 对于冠脉造影的检查结果中,忽略了对升主动脉的注意

 

 这4招,教你鉴别主动脉夹层 

 

急性A型主动脉夹层累及冠脉最易误诊为急性冠脉综合征,甚至给予负荷量阿司匹林和氯吡格雷,延误最佳手术时机,因此鉴别诊断这两种疾病显得尤为重要,主要有以下4

 

  • 主动脉夹层患者常有高血压病史,且胸痛一开始即达高峰,常放射到背、腹、腰和下肢

     

  • 可有少量及以上的主动脉瓣关闭不全的表现,偶有意识模糊和偏瘫等神经系统受损症状;

     

  • 超声心动图检查多可发现主动脉瓣返流和撕裂的主动脉内膜;

     

  • 增强CT有助于诊断

 

因此,当一个急性胸痛的患者高度怀疑是心肌梗死时,听心音、做超声、增强CT绝对是我们挽救一个生命,乃至一个家庭的利器

 

这例患者是不幸的,但同时又是幸运的,因为我们在他发病4天后冒着风险为他实施了手术,手术成功了。

 

然而,胸痛中心每年都会接诊类似的患者,又有几人能像文中的患者一样,福大命大呢?毕竟,运气不是医疗的常态

 

我永远都忘不了,当大夫告知家属由于误诊只能干巴巴地等待时,他们的悔恨、无奈......他们不知道下一秒家里的顶梁柱会不会就与他们永别,他们等待的每一秒都像是最后时刻,都是痛苦的。至于患者本人是怎样的心境,我们就不再去揣测了。

 

目前还没有研究表明主动脉夹层服用抗血小板药物后该何时手术。我们不希望有大量的病例来研究该问题,我们只希望这类事件能够减少,直至消失。

 

参考文献:

[1] Girdauskas E, Kuntze T, Borger MA, et al. Surgical risk of preoperative malperfusion in acute type A aortic dissection[J]. J Thorac Cardiovasc Surg,2009,138(6):1363-1369.doi:10.1016/j.jtcvs.2009.04.059

<https://doi.org/10.1016/j.jtcvs.2009.04.059>.

[2] Neri E, Toscano T, Papalia U, et al. Proximal aortic dissection with coronary malperfusion: Presentation, management, and outcome[J]. J Thorac Cardiovasc Surg,2001,121(3):552-560.doi:10.1067/mtc.2001.112534.

[3] Kawahito K, Adachi H, Murata S, Yamaguchi A, Ino T. Coronary malperfusion due to type A aortic dissection: mechanism and surgical management[J]. Ann Thorac Surg. 2003;76(5):1471-6, 1476.